Protocolo de Zircônia

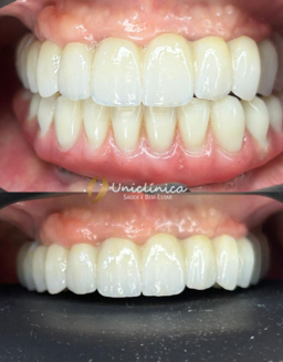
Essa paciente fez protoclo de zircônia, como a gengiva dela é bem grande a mesma optou por um protocolo sem caracterização gengival.

A cirurgia de protocolo dentário com instalação de prótese de zircônia é um procedimento avançado que envolve a colocação de implantes dentários e a confecção de uma prótese fixa sobre esses implantes, geralmente em casos de reabilitação oral total ou parcial. O protocolo é bastante utilizado para pacientes que perderam todos os dentes em uma ou ambas as arcadas e desejam uma solução fixa e estética.

Aqui estão as etapas típicas desse procedimento:

1. Cirurgia de Implante: Os implantes dentários são inseridos cirurgicamente no osso maxilar ou mandibular. Dependendo do caso, pode-se optar por fazer a cirurgia em um único dia (carga imediata) ou esperar alguns meses para que os implantes se integrem ao osso (osseointegração).

2. Instalação do Protocolo de Zircônia: Após a cicatrização dos implantes, uma estrutura protética feita de zircônia é confeccionada e instalada sobre os implantes. Essa prótese pode ser fixa, proporcionando ao paciente a funcionalidade similar à dos dentes naturais.

3. Ajustes e Acompanhamento: Após a instalação da prótese, o dentista faz ajustes para garantir conforto e funcionalidade. O acompanhamento regular é essencial para monitorar a saúde bucal e a integridade dos implantes.

Os benefícios do protocolo dentário com zircônia incluem:

- Estética: A zircônia possui uma aparência natural que se assemelha ao esmalte dental.
- Resistência: É um material altamente resistente, ideal para suportar forças mastigatórias.
- Conforto: Proporciona uma sensação mais confortável em comparação com próteses removíveis.

Disponibilizamos um canal de atendimento rápido e direto pelo WhatsApp para sua maior comodidade.
Clique Aqui!