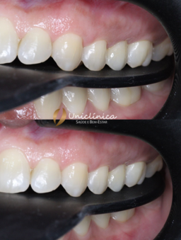
Coroa Emax - Cliente: Ana Beatriz

Colocação da coroa Emax sobre o dente.
A coroa oferece uma aparência totalmente natural, sem qualquer distinção visível entre o dente original e a coroa. Sua cor e brilho são projetados para imitar perfeitamente os traços dos dentes naturais, proporcionando um resultado estético impecável.

Disponibilizamos um canal de atendimento rápido e direto pelo WhatsApp para sua maior comodidade.
Clique Aqui!